Vôi hóa thận (Nephrocalcinosis)
2. Chứng vôi hóa tháp thận/ tủy thận (Medullary nephrocalcinosis)
PHẦN I: Chứng vôi hóa thận (Nephrocalcinosis)
Chứng vôi hóa thận (Nephrocalcinosis), trước đây được gọi là “Anderson-Carr kidney or Albright calcinosis” , liên quan đến sự lắng đọng của muối canxi trong nhu mô của thận. Chứng vôi hóa thận được chia thành nhiều loại, với các căn nguyên khác nhau dựa trên sự phân bố:
Chứng vôi hóa tháp/tủy thận (medullary nephrocalcinosis): 95% Chứng vôi hóa vỏ thận (cortical nephrocalcinosis): 5%
Chứng vôi hóa một phần, kết hợp vỏ và tủy thận : hiếm gặp
Lưu ý: Chứng vôi hóa thận có liên quan đến, nhưng không giống với sỏi thận( kidney stones (nephrolithiasis)
Các biến chứng có thể xảy ra:
Suy thận cấp
Suy thận mãn
Sỏi thận
Tình trạng tắc nghẽn đường tiết niệu (cấp tính hoặc mãn tính, một bên hoặc hai bên)
Dấu hiệu lâm sàng
Các nốt canxi thường vỡ ra qua biểu mô nhú vào hệ thống đài bể thận thành sỏi tiết niệu và do đó, triệu chứng có thể là do:
Cơn đau quặn thận
Tiểu máu
Nhiễm trùng đường tiết niệu
Tiểu ra sỏi
Chứng vôi hóa thận đại thể là chứng vôi hóa thận có thể nhìn thấy được mà không cần phóng đại, cái mà được phát hiện bằng chụp X quang, siêu âm hoặc khi khám nghiệm tử thi.
Chứng vôi hóa thận đại thể không nên được coi là đồng nghĩa với sỏi tiết niệu vì nó biểu hiện sự rối loạn chuyển hóa và có biến chứng rộng hơn
Các đợt nhiễm trùng đường tiết niệu có thể xảy ra
Đa niệu và sự khát quá mức có thể nổi bật
Tăng huyết áp ít phổ biến hơn
Tiểu ra mủ vi thể luôn luôn được tìm thấy (Đại diện cho phản ứng viêm mãn tính đối với vôi hóa tủy thận)
Rối loạn chức năng ống thận xa thường gặp với khiếm khuyết mất muối mức độ nhẹ
PHẦN II: Chứng vôi hóa tháp thận/ tủy thận (Medullary nephrocalcinosis)
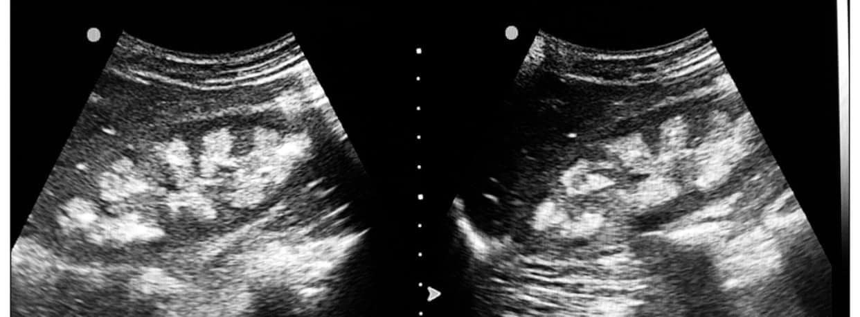
Đặc điểm hình ảnh: Các nốt vôi hóa nhỏ tụ thành đám trong từng tháp thận.
Lưu ý: Rất khó chẩn đoán bệnh lý thận nền dựa trên hình thái của vôi hóa, ngoại trừ các trường hợp: Hoại tử nhú thận do lạm dụng thuốc giảm đau vì toàn bộ nhú có thể bị vôi hóa, và Bệnh lí xốp tủy thận: là bệnh có thể thấy các vùng vôi hóa rõ và có phân bố không đồng đều.
Nguyên nhân
Cường cận giáp nguyên phát là nguyên nhân phổ biến nhất của chứng vôi hóa thận ở người lớn
Nhiễm toan ống thận xa là nguyên nhân phổ biến thứ hai của chứng vôi hóa tháp thận
Bệnh lí xốp tủy thận, là một nguyên nhân phổ biến của chứng vôi hóa tháp thận, trong đó canxi nằm trong các ống góp giãn chứ không phải ở nhu mô thận.
…..
1/cường cận giáp
2/nhiễm toan ((ống thận)
3/Bệnh lí xốp tủy thận
4/tăng canxi máu / tăng canxi niệu
5/oxalosis
6/hoại tử nhú thận
Tiên lượng: Phụ thuộc chủ yếu vào nguyên nhân của chứng vôi hóa tháp thận
Biến chứng lâu dài chính ở bệnh nhân mắc chứng vôi hóa tháp thận là suy thận


