Loét dạ dày

Bệnh loét dạ dày

Loét tiêu hóa là s ăn mòn đon niêm mc đường tiêu hóa, đin hình là d dày (loét d dày) hoc vài cm đu tiên ca tá tràng (loét tá tràng), xâm nhp qua lp cơ niêm. Hu như tt c các vết loét đu do Helicobacter pylori (HP) hoc dùng thuc NSAID. Triu chng đin hình là đau vùng thượng v, thường thuyên gim sau ăn. Chn đoán bng ni soi và test Helicobacter pylori. Điu tr bao gm thuc c chế acid, diH. pylori (nếu có) và tránh dùng NSAIDs.

Loét có thể có kích thước từ vài milimet đến vài cm. Vết loét được phân biệt với vết trợt bởi độ sâu của tổn thương; vết trợt có ở bề mặt nhiều hơn và không liên quan đến lớp cơ niêm. Loét có thể xảy ra ở mọi lứa tuổi, bao gồm cả sơ sinh và trẻ nhỏ, nhưng phổ biến nhất ở người lớn trung niên.

Nguyên nhân

H. pylori và NSAID làm cản trở việc bảo vệ và sửa chữa niêm mạc bình thường, khiến niêm mạc dễ bị tác động bởi acid hơn. Nhiễm HP cómặt trong 50 đến 70% bệnh nhân bị loét tá tràng và trong 30 đến 50% bệnh nhân bị loét dạ dày. Nếu H. pylori bị tiệt trừ, chỉ có 10% bệnh nhân loét dạ dày tái phát, so với 70% ở bệnh nhân điều trị bằng thuốc ức chế acid. Thuốc nhóm NSAID hiện là nguyên nhân chiếm > 50% trường hợp loét tiêu hóa.

Hút thuốc lá là một yếu tố nguy cơ cho sự phát triển của loét và các biến chứng của chúng. Ngoài ra, hút thuốc làm giảm khả năng lành vết loét và tăng tỷ lệ tái phát. Nguy cơ loét có tương quan với số lượng thuốc lá hút mỗi ngày. Mặc dù rượu là một chất kích thích mạnh sự bài tiết axit, nhưng không có dữ liệu chính xác nào chứng minh có mối liên quan giữa lượng rượu và sự tiến triển hoặc trì hoãn việc lành vết loét. Rất ít bệnh nhân tăng tiết gastrin do U gastrin (Hội chứng Zollinger-Ellison).

Tiền sử gia đình có trong 50 đến 60% trẻ bị loét tá tràng.

Triu chng và Du hiu

Triệu chứng phụ thuộc vào vị trí loét và tuổi bệnh nhân; nhiều bệnh nhân, đặc biệt là bệnh nhân cao tuổi, có ít hoặc không có triệu chứng. Đau là triệu chứng phổ biến nhất, thường ở thượng vị và giảm sau ăn hoặc dùng thuốc kháng axit. Đau với đặc điểm nóng rát, cồn cào hoặc đôi khi cảm giác đói. Thường là mạn tính và hay tái phát. Chỉ có khoảng một nửa số bệnh nhân biểu hiện triệu chứng.

Các triu chng loét d dày thường không có đặc điểm cố định (ví dụ như ăn uống đôi khi làm đau trầm trọng hơn là làm giảm đau). Điều này đặc biệt đúng đối với loét hang môn vị, thường có liên quan đến các triệu chứng tắc nghẽn (ví dụ như chướng, buồn nôn, nôn) do phù nề và sẹo gây ra.

Loét tá tràng có xu hướng gây ra đau dai dẳng. Bệnh nhân không đau khi tỉnh dậy nhưng xuất hiện đau vào giữa buổi sáng và giảm bớt nhờ thức ăn nhưng tái lại sau ăn từ 2 đến 3 giờ. Đau thường khiến bệnh nhân thức giấc vào ban đêm và điều này rất gợi ý hướng đến loét tá tràng. Ở trẻ sơ sinh, thủng và xuất huyết có thể là biểu hiện đầu tiên của loét tá tràng. Xuất huyết cũng có thể là dấu hiệu đầu tiên thấy ở trẻ sơ sinh và trẻ nhỏ, nôn hoặc đau bụng nhiều lần có thể là những dấu hiệu gợi ý.

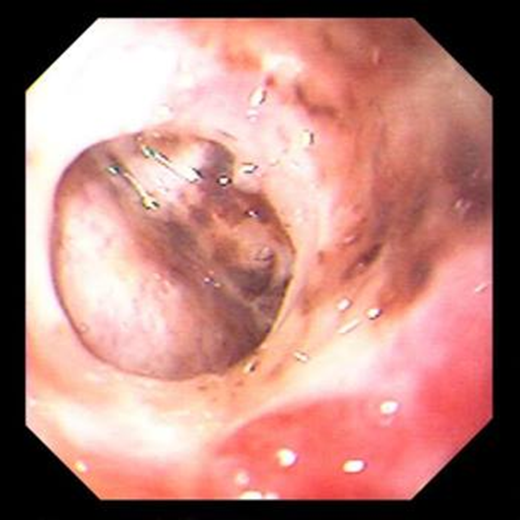
Loét tá tràng

image

Chẩn đoán

  • Nội soi
  • Có thể dựa vào nồng độ gastrin huyết thanh

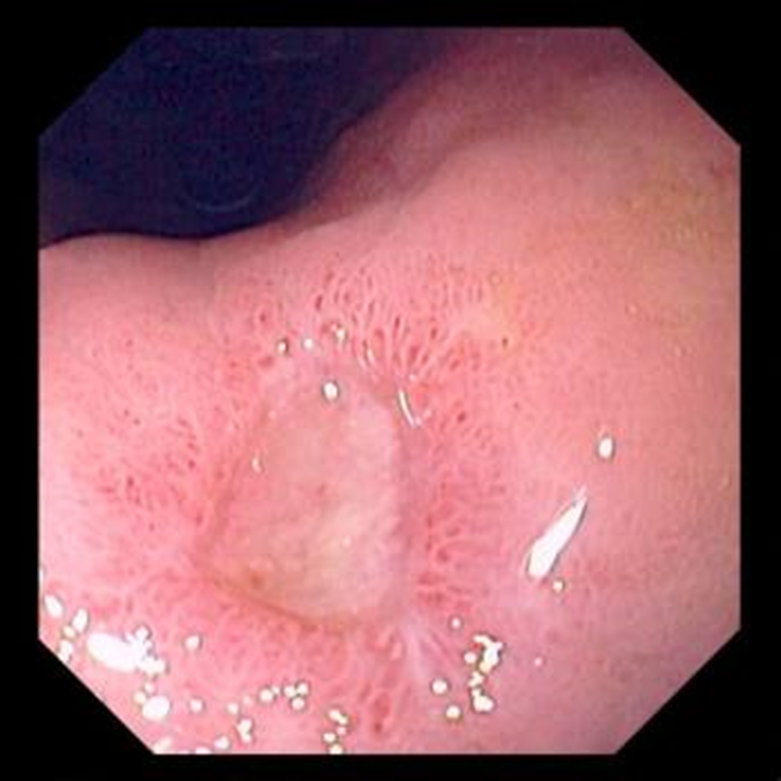
Loét dạ dày

image 1

Chẩn đoán loét đường tiêu hóa được nghĩ đến dựa vào tiền sử của bệnh nhân và được xác nhận bằng nội soi. Điều trị theo kinh nghiệm thường tiến hành mà không có chẩn đoán chính xác. Tuy nhiên, nội soi cho phép sinh thiết hoặc thu mẫu tế bào học của các tổn thương dạ dày và thực quản nhằm phân biệt giữa bệnh loét đơn thuần và ung thư dạ dày thể loét. Ung thư dạ dày có thể biểu hiện với các triệu chứng tương tự và phải được chú ý loại trừ, đặc biệt ở những bệnh nhân > 45 tuổi, sút cân, có các triệu chứng nặng hoặc dai dẳng. Tỉ lệ loét tá tràng ác tính rất thấp, do đó sinh thiết tổn thương tá tràng thường không cần thiết. Nội soi cũng có thể được sử dụng để chẩn đoán xác định nhiễm H. pylori, điều này cần làm khi phát hiện thấy vết loét.

Ung thư tiết gastrin và gastrinoma nên được xem xét khi có nhiều ổ loét, khi loét phát triển ở những vị trí không điển hình (ví dụ như đoạn sau hành tá tràng) hoặc hoặc không đáp ứng với điều trị hay khi bệnh nhân xuất hiện triệu chứng tiêu chảy nổi bật hoặc sút cân. Nồng độ gastrin trong huyết thanh nên được đánh giá ở những bệnh nhân này.

Biến chng

Xut huyết

Xuất huyết từ nhẹ đến nặng là biến chứng phổ biến nhất của bệnh loét dạ dày. Các triệu chứng bao gồm nôn máu (nôn máu tươi hoặc bã “cà phê”); đại tiện phân đen (hematochezia) hoặc phân đen quánh (melena); và mệt mỏi, hạ huyết áp tư thế, ngất, khát và vã mồ hôi do mất máu.

Thng (thng bít)

Thủng ổ loét dạ dày

image 2

Một vết loét dạ dày có thể xâm nhập vào thành dạ dày. Nếu được khu trú lại để ngăn sự rò rỉ vào khoang phúc mạc, tránh sự xâm nhập tự do thì gọi là thủng bít. Tuy nhiên, loét có thể xâm nhập vào tá tràng và vào khoang nhỏ liền kề (mạc nối nhỏ) hoặc cơ quan khác (ví dụ như tụy, gan). Đau có thể rất dữ dội, dai dẳng, ở các vị trí khác ngoài bụng (thường là lưng khi thủng ổ loét sau tá tràng vào tụy) và thay đổi theo tư thế. CT hoặc MRI thường cần để xác định chẩn đoán. Khi điều trị mà không lành thì cần được phẫu thuật.

Thng t do

Loét thủng vào khoang phúc mạc không được khu trú thường xảy ra ở thành trước của tá tràng hoặc ít gặp hơn là ở dạ dày. Bệnh nhân biểu hiện đau bụng cấp tính. Đau thượng vị đột ngột, dữ dội, liên tục và lan rộng khắp vùng bụng, thường trội hơn ở góc phần tư dưới phải và đôi khi lan đến một hoặc cả hai vai. Bệnh nhân thường nằm im vì thậm chí hít thở sâu cũng làm đau tăng. Sờ bụng thường gây đau, nổi bật là phản ứng thành bụng, co cứng thành bụng (cứng như gỗ) và nhu động ruột giảm hoặc mất. Sốc có thể xảy ra, tiền triệu là mạch nhanh và huyết áp tụt, tiểu ít. Các triệu chứng có thể ít nổi bật hơn ở bệnh nhân cao tuổi hoặc bệnh nhân đang hấp hối và những người đang dùng corticosteroid hoặc chất ức chế miễn dịch.

Xác định chẩn đoán khi Xquang hoặc CT bụng có hình ảnh khí dưới cơ hoành (liềm hơi) hoặc khí trong phúc mạc. Xquang ngực và bụng thẳng thường được chỉ định hơn. Trường quan sát nhạy nhất là Xquang ngực nghiêng. Bệnh nhân nặng có thể không thể ngồi thẳng nên chụp X quang bụng tư thế nằm nghiêng. Không thấy khí tự do cũng không loại trừ chẩn đoán.

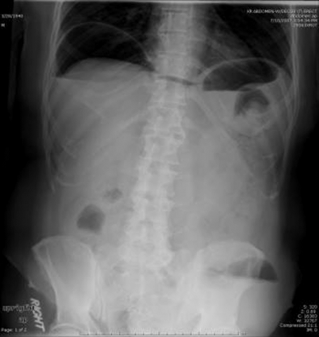
Khí tự do

image 3

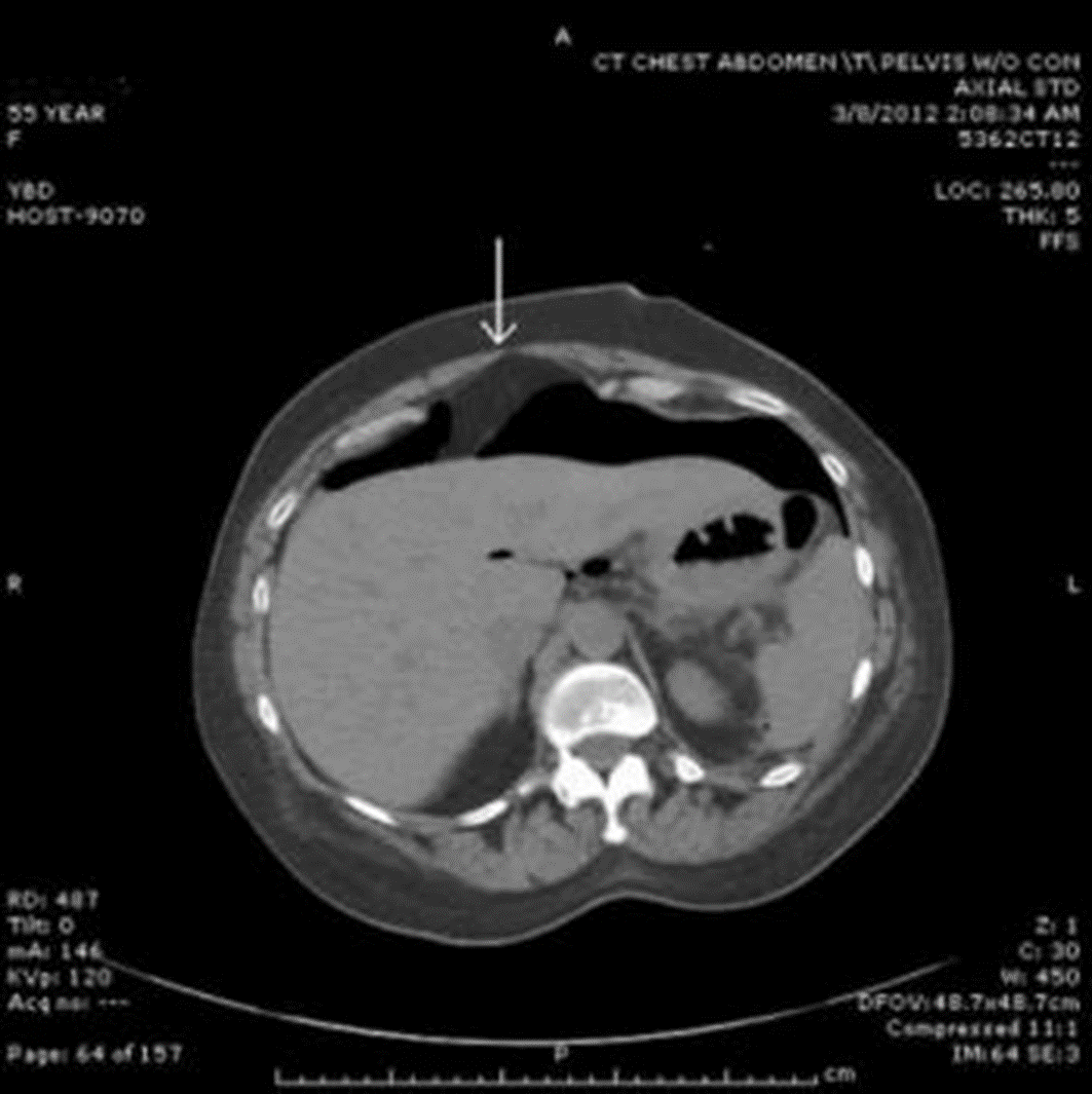
CT với khí tự do ổ bụng

image 4

Cần phẫu thuật ngay. Trì hoãn càng lâu thì tiên lượng càng kém. Kháng sinh đường tĩnh mạch có tác dụng chống lại vi khuẩn đường ruột (ví dụ như cefotetan, hoặc amikacin và clindamycin). Thông thường, bệnh nhân được đặt sonde dạ dày để hút dịch liên tục. Trong số ít trường hợp phẫu thuật không thể thực hiện được thì tiên lượng kém.

Tc nghn d dày

Sự tắc nghẽn có thể do sẹo, co thắt, hoặc viêm do loét. Các triệu chứng bao gồm nôn nhiều và tái phát nhiều lần, xảy ra thường xuyên hơn vào cuối ngày và thường là 6 giờ sau bữa ăn cuối cùng. Chán ăn kèm theo đầy bụng hoặc chướng bụng kéo dài sau khi ăn cũng hướng tới bệnh Nôn kéo dài có thể gây giảm cân, mất nước, và kiềm hóa.

Nếu bệnh nhân có tiền sử gợi ý tắc nghẽn, khám thực thể, hút dạ dày hoặc chụp Xquang có thể phát hiện dạ dày còn tồn dịch. Nghe tiếng óc ách bụng > 6 giờ sau bữa ăn hoặc hút dạ dày thấy dịch hoặc thức ăn > 200 mL sau một đêm gợi ý tồn dư dịch dạ dày. Nếu hút dạ dày nghi ngờ có tồn dư dịch, dạ dày nên được làm trống và tiến hành nội soi hoặc chụp X quang để xác định vị trí, nguyên nhân và mức độ tắc nghẽn.

Chứng phù nề hoặc co thắt gây ra bởi loét hang môn vị hoạt động được điều trị bằng giảm áp lực dạ dày nhờ hút dịch dạ dày qua sonde và thuốc ức chế acid (ví dụ chẹn H2 đường tĩnh mạch hoặc thuốc ức chế bơm proton đường tĩnh mạch). Mất nước điện giải do nôn mửa kéo dài hoặc hút dạ dày qua sonde liên tục cần được đánh giá và xử lý kịp thời. Thuốc hỗ trợ nhu động không được chỉ định. Nói chung, tắc nghẽn sẽ giải quyết trong vòng 2 đến 5 ngày điều trị. Sự tắc nghẽn kéo dài có thể là kết quả của sẹo lồi hoặc có thể là phản ứng sau nong bóng môn vị qua nội soi. Phẫu thuật là cần thiết để làm giảm sự tắc nghẽn trong những trường hợp nhất định.

Tái phát

Các yếu tố ảnh hưởng đến sự tái phát của loét bao gồm việc không tiệt trừ được H. pylori, tiếp tục sử dụng NSAID, và hút thuốc. Ít gặp hơn có thể là u gastrin. Tỷ lệ tái phát 3 năm đối với loét dạ dày và tá tràng là < 10% khi H. pylori được loại trừ thành công nhưng > 50% khi không có. Vì vậy, một bệnh nhân bị tái phát nên xét nghiệm tìm HP và điều trị lại nếu xét nghiệm dương tính.

Mặc dù điều trị dài hạn với chẹn H2, chất ức chế bơm proton, hoặc misoprostol làm giảm nguy cơ tái phát, việc sử dụng thường quy cho mục đích này không được khuyến cáo. Tuy nhiên, những bệnh nhân dùng NSAIDs sau khi bị loét đường tiêu hóa là những người cần được điều trị dài hạn, cũng như những người bị loét rìa (loét hỗng tràng) hoặc thủng hoặc chảy máu.

Tổng kết lại:

Bệnh loét dạ dày thường không được phát hiện sớm do có triệu chứng không rõ ràng, dễ bị nhầm với chứng khó tiêu thông thông thường.

Nguy cơ dẫn đến các biến chứng nặng như: chảy máu, ung thư.

Phát hiện sớm chỉ bằng cách nội soi dạ dày định kỳ 6 tháng 1 lần dù không có triệu chứng rõ ràng.

Đặt hẹn nội soi dạ dày tại phòng khám bác sĩ GIANG

Để lại một bình luận